WEB予約 歯並び相談予約

武蔵新城駅前
ひらの歯科・矯正歯科

044-789-8282

ひらの大人こども歯科・矯正歯科
武蔵小杉/新丸子

044-322-0011

キービジュアル

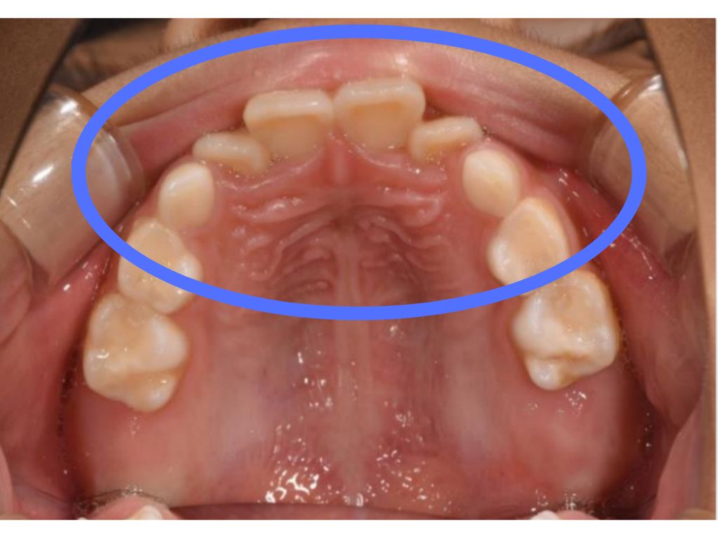
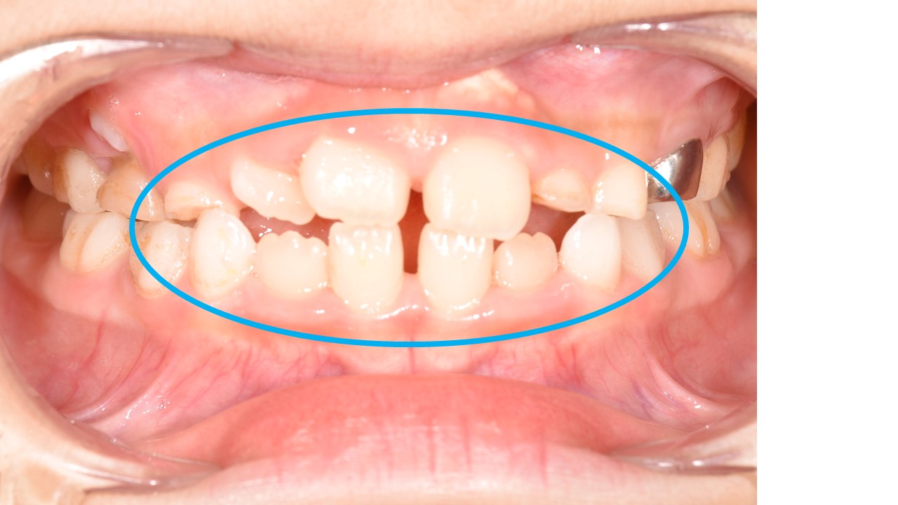
叢生の矯正歯科治療 | 8歳男児

2025年7月11日

  • 治療前
  • 治療後

MAMトレーニングから1年1カ月後の状態です。顎が小さく歯が並ぶスペースが足りないため前歯がガタガタになっていました。ワイヤー矯正の場合抜歯をしてスペースを作ることがほとんどです。ですがMAMトレーニングを実施し顎が成長したことで、歯が並ぶスペースができたため、歯が一列に並びました。

ガイドラインに基づく症例情報

主訴 歯がガタガタになっている。
診断名 叢生、歯列狭窄
初診時の年齢 8歳
メーカー名 ソフトマウスピース(マイオブレース)を利用。日中2時間と就寝時の装着。
治療期間 トレーニング開始から1年1カ月後
費用 基本施術料550,000円、検査診断料55,000円、毎月の調整料0円
リスク・副作用 プログラム上のリスクとして、虫歯の発生、歯肉・歯周病の発生などが考えられたが、本症例では幸いにもそのような望ましくない偶発症状は認められなかった

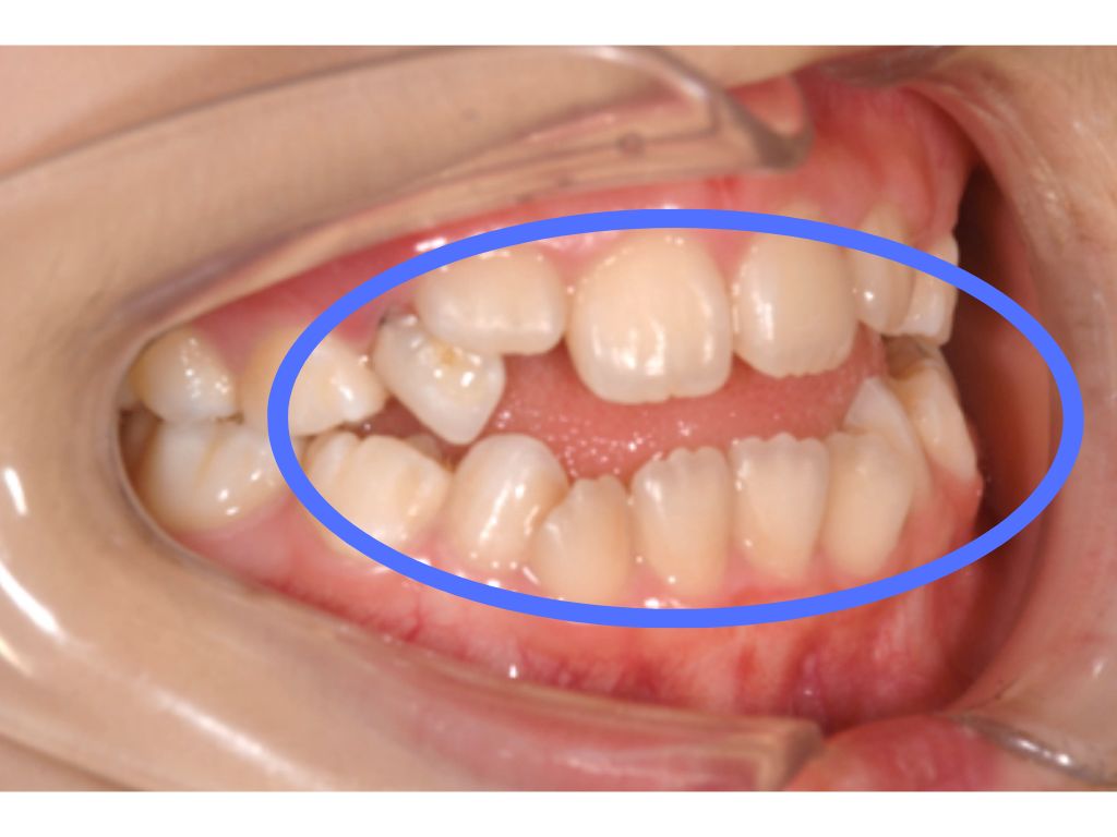
下顎前突(反対咬合/受け口)の矯正歯科治療 | 4歳女児

2025年7月11日

  • 治療前
  • 治療後

MAMトレーニングから1年2カ月後の状態です。始めは顎の位置が逆転し、上の前歯が隠れてしまっている状態でした。ですがMAMトレーニングを実施し、顎の位置が徐々に改善されたことで、正しいかみ合わせになってきました。

ガイドラインに基づく症例情報

主訴 受け口になってしまっている。
診断名 反対咬合、歯列狭窄
初診時の年齢 4歳
メーカー名 ソフトマウスピース(マイオブレース)を利用。日中2時間装着と睡眠時の装着。
治療期間 トレーニング開始から1年2カ月後
費用 基本施術料550,000円、検査診断料55,000円、毎月の調整料0円
リスク・副作用 プログラム上のリスクとして、虫歯の発生、歯肉・歯周病の発生などが考えられたが、本症例では幸いにもそのような望ましくない偶発症状は認められなかった。

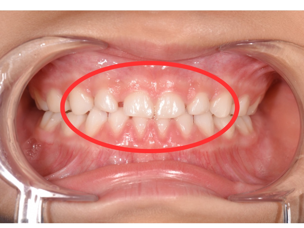
叢生/上顎前突の矯正歯科治療 | 7歳女児

2025年7月11日

  • 治療前
  • 治療後

MAMトレーニング開始から2年後の状態です。顎のスペースが小さく歯が並びきっていない+前歯が前に出てしまっている出っ歯の状態でした。ですがMAMのトレーニングを実施と、マウスピースの装着をきちんとした結果、顎が大きく成長し歯が一列に並ぶことができました。前歯も正しい位置へ戻り出っ歯にもきちんと変化が出ています。

ガイドラインに基づく症例情報

診断名 叢生、上顎前突
初診時の年齢 7歳
メーカー名 ソフトマウスピース(マイオブレース)を利用。日中2時間と就寝時の装着。
治療期間 トレーニング開始から2年後
費用 基本施術料550,000円、検査診断料55,000円、毎月の調整料0円
リスク・副作用 プログラム上のリスクとして、虫歯の発生、歯肉・歯周病の発生などが考えられたが、本症例では幸いにもそのような望ましくない偶発症状は認められなかった。

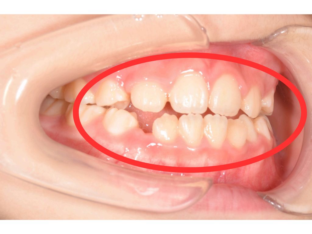
叢生/過蓋咬合矯正歯科治療 | 7歳女児

2025年7月11日

  • 治療前
  • 治療後

MAMトレーニング開始から2年後の様態です。深く噛みすぎてしまい上の前歯が下の前歯に多いかぶさってしまう過蓋咬合+顎のスペースが足りず歯がガタガタと並びきっていない状態でした。ですがMAMトレーニングを実施し、正しい筋機能の獲得や顎の正しい成長が促されたことで歯がきれいに並びかみ合わせも改善されました。

ガイドラインに基づく症例情報

診断名 叢生、過蓋咬合
初診時の年齢 7歳
メーカー名 ソフトマウスピース(マイオブレース)を利用。日中2時間と就寝時の装着。
治療期間 トレーニング開始から2年後
費用 基本施術料550,000円、検査診断料55,000円、毎月の調整料0円
リスク・副作用 プログラム上のリスクとして、虫歯の発生、歯肉・歯周病の発生などが考えられたが、本症例では幸いにもそのような望ましくない偶発症状は認められなかった。

開咬/叢生の矯正歯科治療 | 8歳女児

2025年7月11日

  • 治療前
  • 治療後

MAMトレーニング開始から8カ月後の状態です。奥歯でかみ合わせても上下の前歯の間に隙間ができてしまう開咬の状態でした。また顎のスペースが足りず隣同士の歯が重なって生えてしまっていました。ですがMAMトレーニングを実施し筋機能の獲得や、顎の正しい成長が促されたことで歯がきれいに並び、前歯ももう少しで重なるところまで変化しています。

ガイドラインに基づく症例情報

主訴 前歯で噛めない。
診断名 開咬、叢生
初診時の年齢 8歳
メーカー名 ソフトマウスピース(マイオブレース)を利用。日中2時間と就寝時の装着。
治療期間 トレーニング開始から8カ月
費用 基本施術料550,000円、検査診断料55,000円、毎月の調整料0円
リスク・副作用 プログラム上のリスクとして、虫歯の発生、歯肉・歯周病の発生などが考えられたが、本症例では幸いにもそのような望ましくない偶発症状は認められなかった

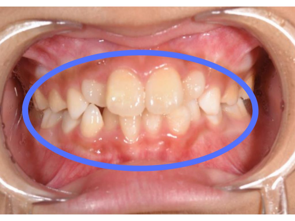
出っ歯(上顎前突)の矯正歯科治療|10歳

2024年5月28日

  • 治療前
  • 治療後

MAMトレーニング開始から6カ月の状態です。上顎の位置が大きく前に出ている状態でした。ですがトレーニングの実施と、マウスピースの装着をきちんとおこなった結果、半年経過の時点でここまで変化しています。上顎の位置が正しい位置に戻ってきており、それにより上の前歯と下の前歯の隙間が少なくなってきています。

ガイドラインに基づく症例情報

主訴 出っ歯がきになる。
診断名 上顎前突(出っ歯)
初診時の年齢 10歳
メーカー名 ソフトマウスピース(マイオブレース)を利用。日中2時間と就寝時の装着。
治療期間 トレーニング開始から6カ月後
費用 基本施術料550,000円、検査診断料55,000円、毎月の調整量0円
リスク・副作用 プログラム上のリスクとして、虫歯の発生、歯肉炎、歯周病の発生などが考えられたが、本症例では幸いにもそのような望ましくない偶発症状は認められなかった。

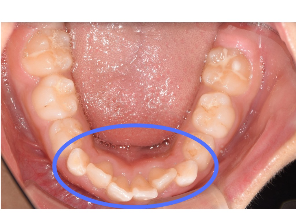
叢生/頬側転位の矯正歯科治療|10歳男児

2024年5月21日

  • 治療前
  • 治療後

MAMトレーニング開始から9カ月の状態です。乳歯が抜けずに、永久歯が他の歯よりも外側から生えてきていました。まだ9ヶ月の段階ですが、MAMトレーニングを実施しとマウスピースの装着をきちんと行った結果、顎のスペースが生まれ本来の位置に並ぶことができています。

ガイドラインに基づく症例情報

主訴 乳歯が抜けず、永久歯が横から生えてきた
診断名 叢生、頬側転位
初診時の年齢 10歳
メーカー名 ソフトマウスピース(マイオブレース)利用。日中2時間と就寝時の装着。
治療期間 9ヶ月
費用 基本施術料550,000円、検査診断料55,000円、毎月の調整料0円
リスク・副作用 プログラム上のリスクとして、むし歯の発生、歯肉炎・歯周病などの発生が考えられたが、本症例で幸いにもそのような望ましくない偶発症状は認められなかった。

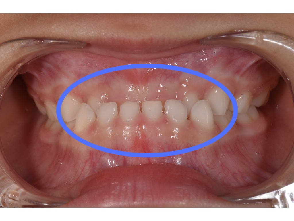
下顎前突(反対咬合/受け口)の矯正歯科治療│7歳

2024年5月21日

  • 治療前
  • 治療後

MAMトレーニング開始から6か月の状態です。下顎の位置が上顎より前に出ている、いわゆる受け口の状態でした。ですがMAMトレーニングを実施とマウスピース装着をきちんと行った結果、半年経過の時点でここまで顎の位置が改善されてきています。

ガイドラインに基づく症例情報

主訴 受け口になっている
診断名 反対咬合
初診時の年齢 7歳
メーカー名 ソフトマウスピース(プレオルソ)を利用。日中2時間と就寝時の装着。
治療期間 トレーニング開始から半年
費用 基本施術料550,000円、検査診断料55,000円、毎月の調整量0円
リスク・副作用 プログラム上のリスクとして、虫歯の発生、歯肉炎・歯周病の発生などが考えられたが、本症例で幸いにもそのような望ましくない偶発症状は認められなかった。

台形歯列/叢生の矯正歯科治療 | 7歳女児

2024年5月7日

  • 治療前
  • 治療後

MAMトレーニング後から2年後の状態です。顎が小さく歯が並ばないためガタガタになっていました。ワイヤー矯正の場合は、抜歯をしてスペースを作ることがほとんどです。ですがMAMトレーニングを実施し顎の正しい成長が促され、大きく成長しました。そして歯の並ぶスペースができたため、理想とされる丸みのある歯列になり歯がきちんと並びました。

ガイドラインに基づく症例情報

主訴 ガタガタの歯並び
診断名 叢生、台形歯列
初診時の年齢 7歳
メーカー名 ソフトマウスピース(マイオブレース)を利用。日中2時間と就寝時の装着。
治療期間 トレーニング開始から2年後
費用 基本施術料550,000円、検査診断料55,000円、毎月の調整量0円
リスク・副作用 プログラム上のリスクとして、虫歯の発生、歯肉炎、歯周病の発生などが考えられたが、本症例では幸いにもそのような偶発症状は認められなかった。

出っ歯(上顎前突)の矯正歯科治療|8歳男児

2024年4月2日

  • 治療前
  • 治療後

MAMトレーニング開始から1年3か月の状態。上顎の位置が前に出ている出っ歯の状態で来院されました。MAMトレーニングにより顎の位置が徐々に改善されてきています。上顎が正しい位置に戻ってきていて、上の前歯と下の前歯の隙間もなくなりました。

ガイドラインに基づく症例情報

診断名 上顎前突(出っ歯)
初診時の年齢 8歳
メーカー名 ソフトマウスピース(マイオブレース)を利用。日中2時間と就寝時の装着。
治療期間 トレーニング開始から2年後
費用 基本施術料550,000円、検査診断料55,000円、毎月の調整量0円
リスク・副作用 プログラム上のリスクとして、虫歯の発生、歯肉炎、歯周病の発生などが考えられたが、本症例では幸いにもそのような望ましくない偶発症状は認められなかった。

症例集

症例集はこちら

初めての方へ

  • 当院はおくちの健康から全身の健康を目指す定期管理型予防の医院となっております。
  • お子様の初診に関しては「親子での予防メンテナンス」を必須としており、従来のお口の診査に加え、唾液の検査(リスク検査)をすべての患者様にお願いしております。
  • またグローバルスタンダードであるFDI(国際歯科連盟)のガイドラインに基づき、治療は必要なリスク検査終了後に行う事をご了承いただいております。
  • 初日は必須検査及びカウンセリングを行うため約90分が目安となっております。
  • 細かい注意事項は予約時もしくは予約日よりも前に受付よりお電話にてご案内させて頂いております。

※当院に通院されている患者様からのご紹介及び当院が園医となっている保育園関係者様、他の医療機関からのご紹介の場合はその旨を初診予約時にお伝えください。

044-789-8282
WEB予約 歯並び相談予約
044-322-0011
WEB予約 歯並び相談予約

このページの先頭に戻る